Asiakaskokemukset ja hoitotulokset, kuva Soinnusta

Hoitotuloksia

Sointu

“Asiointi Ebelingin kanssa oli helppoa, läpinäkyvää ja turvallista. Hampaat ovat olleet yksi elämäni parhaista investoinneista. Lopputulos oli yli odotusteni ja kommunikointi sopivan rentoa. Mitään ei tarvinnut jännittää, kaikki selitettiin selkeästi auki, prosessin aikana minulla oli alusta loppuun turvallinen olo. Voin suositella Ebelingia koko sydämestäni.”

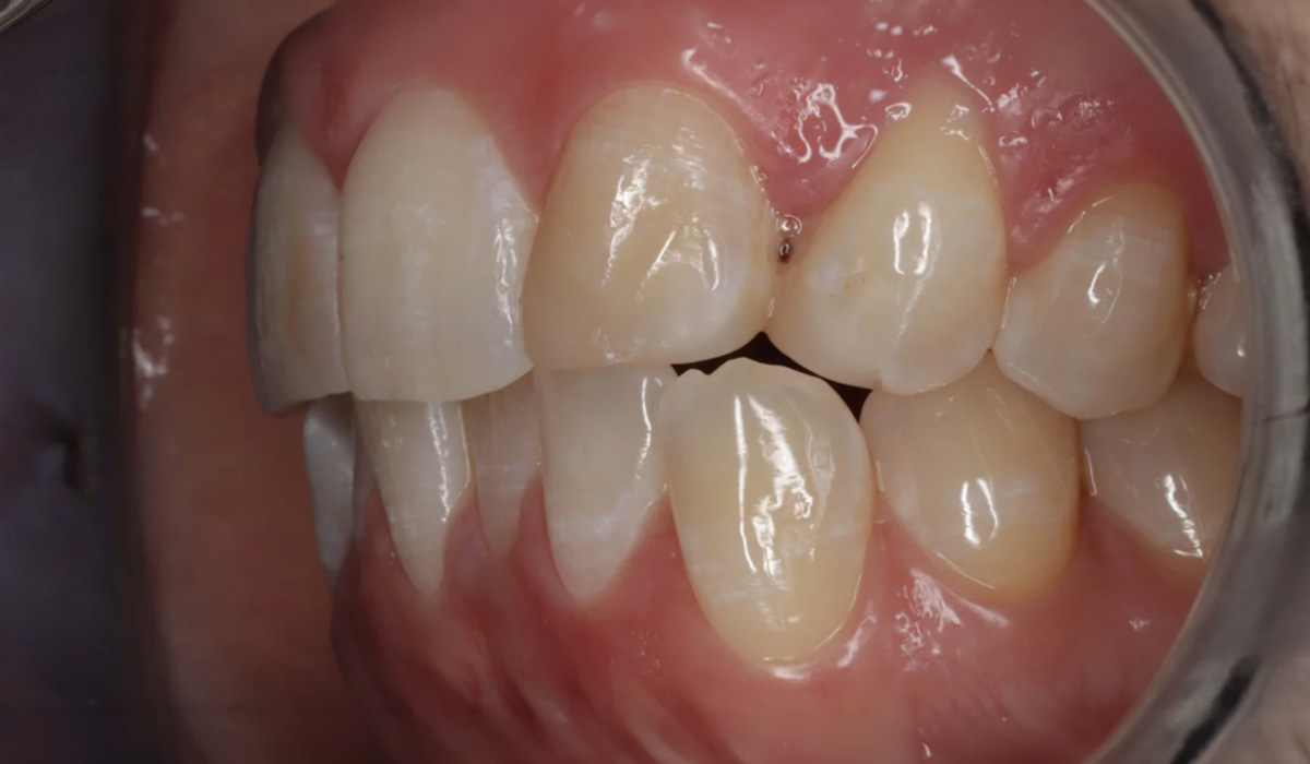
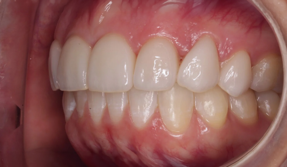
Soinnun puuttuvien sivuetuhampaiden aiheuttamaa epäsymmetriaa lähdettiin korjaamaan kalvo-oikomisen ja laminaattien yhdistelmällä. Kalvo-oikomishoito on huomaamaton tapa oikoa hampaita ja Soinnun hoito kesti noin 12 kuukautta. Hampaiden pinnalle asetetut laminaatit ovat ultraohuet: tämän vuoksi hampaita hiottiin mahdollisimman vähän.

Kalvo-oikomisen toteutti hammaslääkäri Erkki Ebeling ja laminaatit toteutti hammaslääkäri Sakari Ebeling.

Jälkeen
Ennen

Lue lisää asiakkaidemme mahtavista lopputuloksista hymygalleriastamme ja ota oma ensimmäinen askeleesi kohti omaa upeaa hymyäsi maksuttoman hoitoarvion kautta!

010 323 3963
toimisto@ehammas.fi

Puheluihin vastataan klinikoidemme vastaanotoista aukioloaikoina.

(Puhelu maksaa 8,35 snt/puh. + 16,69 snt/min, sis. alv.)