Asiakaskokemukset ja hoitotulokset, kuva Matista

Hoitotuloksia

Matti

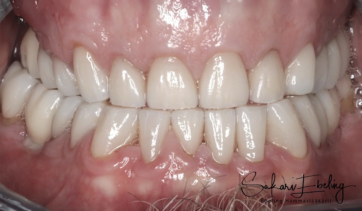
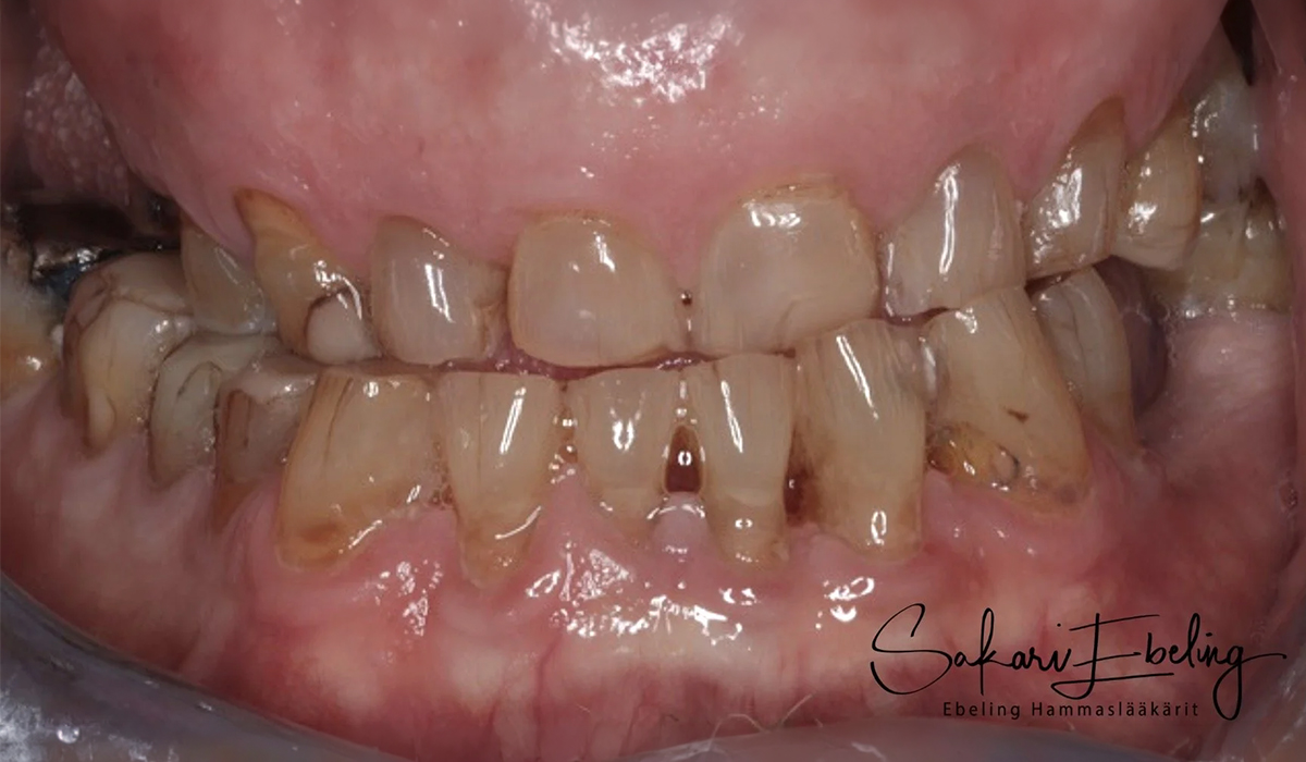
Matti oli kärsinyt vuosia hampaiden narskuttelusta, jonka seurauksena hampaat olivat lyhentyneet ja lohkeilleet ja hampaita oli jouduttu poistamaan. Asiakkaan kulunut purenta palautettiin ennalleen 22 keraamisella kruunulla ja 4 implantilla.

Implantteina käytettiin sveitsiläisiä Straumann-implantteja, joilla on elinikäinen takuu. Hoitavana hammaslääkärinä toimi Sakari Ebeling ja hammasteknikkona Sami Pohjola.

Hoidon kesto: Hampaiden kruunutus tehtiin kahden viikon aikana ja implanttihoito kesti yhteensä reilu 6 kk.

Hammaskruunut hoitotulos edestä jälkeen, Matti
Jälkeen
Hammaskruunut hoitotulos edestä ennen, Matti
Ennen

Lue lisää asiakkaidemme mahtavista lopputuloksista hymygalleriastamme ja ota oma ensimmäinen askeleesi kohti omaa upeaa hymyäsi maksuttoman hoitoarvion kautta!

010 323 3963
toimisto@ehammas.fi

Puheluihin vastataan klinikoidemme vastaanotoista aukioloaikoina.

(Puhelu maksaa 8,35 snt/puh. + 16,69 snt/min, sis. alv.)