Asiakaskokemukset ja hoitotulokset, kuva Lindasta

Hoitotuloksia

Linda

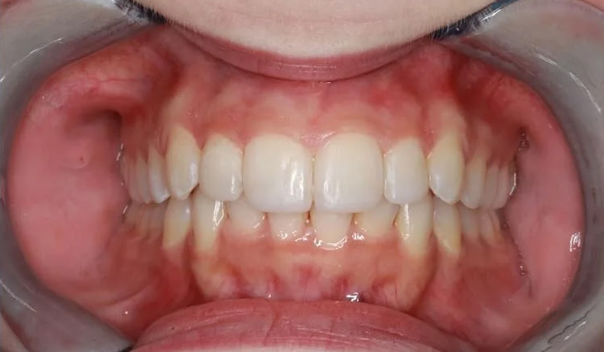
“Niin klisee kuin se onkin, mutta suora hammasrivistö oli minulle vuosien ajan unelma, jonka halusin toteuttaa. Pelon ja innostuksen sekaisissa tunteissa, oikominen Erkin kanssa sujuin kaikin puolin loistavasti, enkä osannut suurimmissakaan unelmissa toivoa näin mieletöntä toteutusta. Taatusti jatkan hymyilemistä vaikka läpi harmaan kiven.”

Lindalle tehtiin 11 kuukautta kestänyt oikomishoito Invisalign-oikomiskalvoilla. Hoidon jälkeen hampaiden kärjet viimeisteltiin esteettisillä muovitäytteillä.

Hoidon toteutti hammaslääkärimme Erkki Ebeling.

Oikomishoidon ja kerrostusmuovien hoitotulos jälkeen-kuva, Linda
Jälkeen
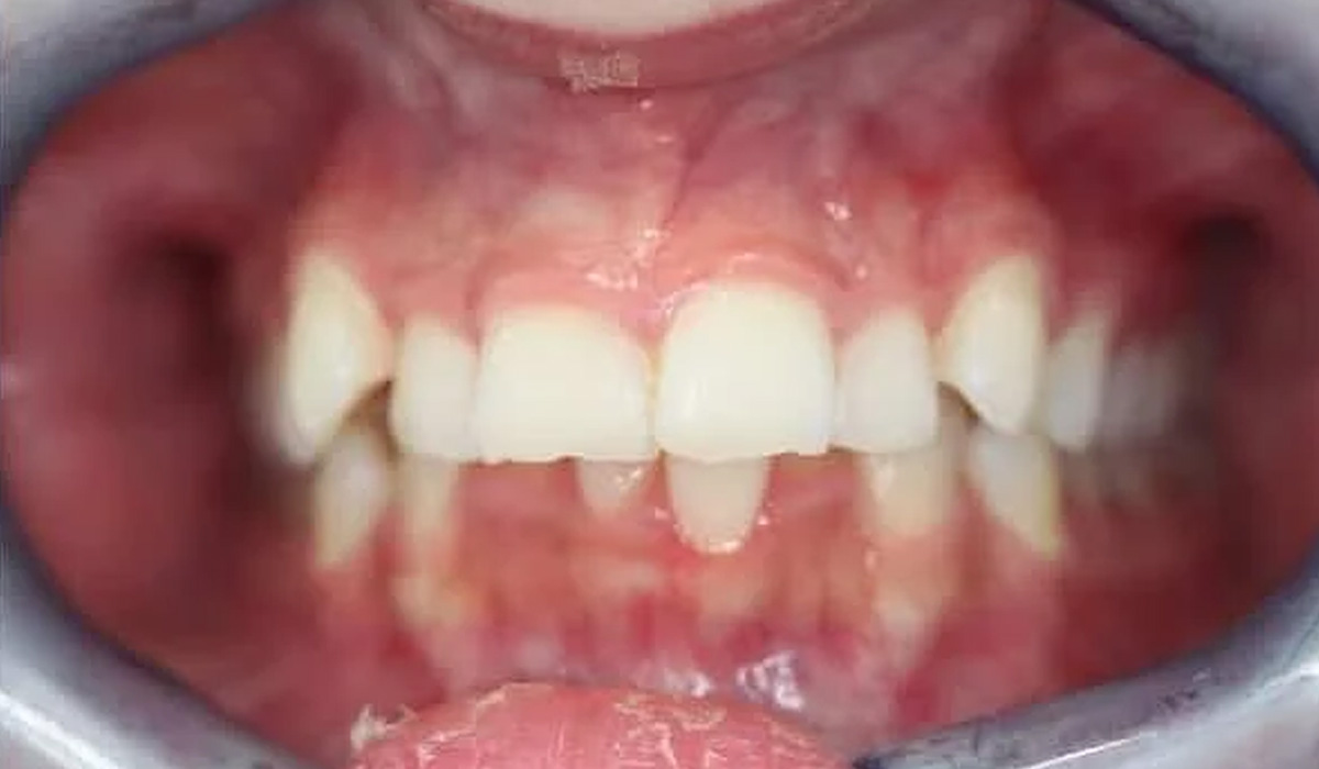
Oikomishoidon ja kerrostusmuovien hoitotulos ennen-kuva, Linda
Ennen

Lue lisää asiakkaidemme mahtavista lopputuloksista hymygalleriastamme ja ota oma ensimmäinen askeleesi kohti omaa upeaa hymyäsi maksuttoman hoitoarvion kautta!

010 323 3963
toimisto@ehammas.fi

Puheluihin vastataan klinikoidemme vastaanotoista aukioloaikoina.

(Puhelu maksaa 8,35 snt/puh. + 16,69 snt/min, sis. alv.)