Asiakaskokemukset ja hoitotulokset, kuva Katariinasta

Hoitotuloksia

Katariina

“Halusin, että lapsena kesken jäänyt oikomishoitoni saatettaisiin loppuun ja että hammasrivistöni olisi suora ja hammasvälit helpompi pitää puhtaana. Muualla tehdyn arvion mukaan lopputulos olisi vaatinut pysyvät raudat useammaksi vuodeksi, hampaiden poistoja ja epävarman lopputuloksen sekä ainakin kaksinkertaisen budjetin. Invisalignilla edistyminen oli jokapäiväistä, vaivatonta ja muut tuskin huomasivat, että hoito on käynnissä! Lopputulokseen päästiin nopeammin kuin alkuun suunniteltiin. Voin lämpimästi suositella Erkkiä ja Ebeling Hammaslääkäreitä!”

Katariinalle tehtiin 11 kuukautta kestävä Invisalign hoito. Hoidon lopuksi kärjet tasoitettiin esteettisellä muovilla.

Hoidon toteutti hammaslääkärimme Erkki Ebeling.

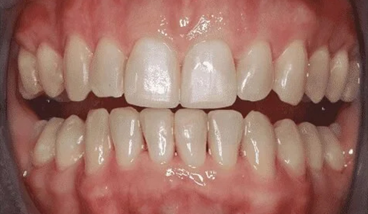
Oikomishoito hoitotulos edestä jälkeen, Katariina
Jälkeen
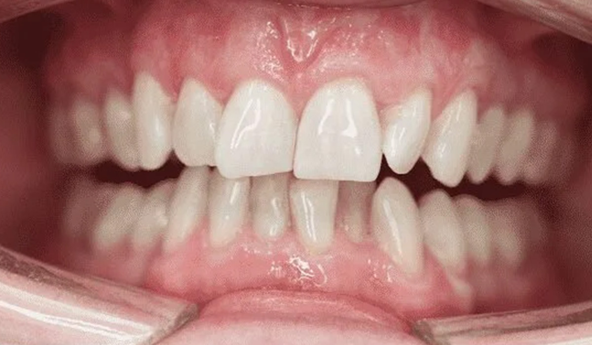
Oikomishoito hoitotulos edestä ennen, Katariina
Ennen
Oikomishoito hoitotulos alakaari jälkeen, Katariina
Jälkeen
Oikomishoito hoitotulos alakaari ennen, Katariina
Ennen

Lue lisää asiakkaidemme mahtavista lopputuloksista hymygalleriastamme ja ota oma ensimmäinen askeleesi kohti omaa upeaa hymyäsi maksuttoman hoitoarvion kautta!

010 323 3963
toimisto@ehammas.fi

Puheluihin vastataan klinikoidemme vastaanotoista aukioloaikoina.

(Puhelu maksaa 8,35 snt/puh. + 16,69 snt/min, sis. alv.)