Asiakaskokemukset ja hoitotulokset, kuva Jarmosta

Hoitotuloksia

Jarmo

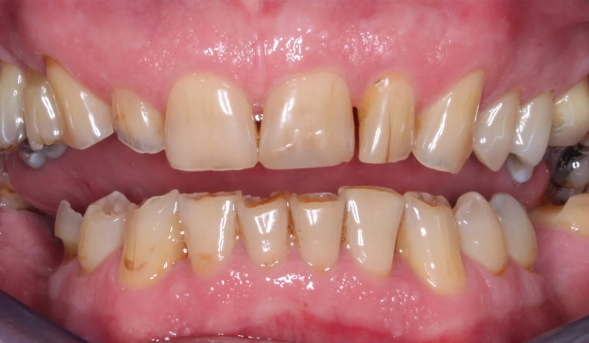
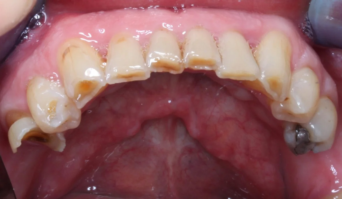
Jarmolla on erittäin voimakas purenta ja vuosien saatossa hampaat olivat kuluneet huomattavasti ja joitakin hampaita oli jouduttu poistamaan niiden haljettua.

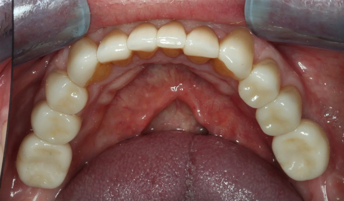
Purenta kuntoutettiin 22 keraamisella Cerec- kuorella ja 2:lla Straumann- implantilla, jotka asennettiin 3D-tulostetulla ohjurilla. Lopuksi valmistettiin vielä purentakiskot suojaamaan hampaita ja rentouttamaan puremalihaksia.

Hoidon toteutti hammaslääkärimme Sakari Ebeling, yhdessä hammasteknikko Sami Pohjolan kanssa.

Hammaskruunut hoitotulos edestä jälkeen, Jarmo
Jälkeen
Hammaskruunut hoitotulos edestä ennen, Jarmo
Ennen
Hammaskruunut hoitotulos jälkeen, Jarmo
Jälkeen
Hammaskruunut hoitotulos ennen, Jarmo
Ennen

Lue lisää asiakkaidemme mahtavista lopputuloksista hymygalleriastamme ja ota oma ensimmäinen askeleesi kohti omaa upeaa hymyäsi maksuttoman hoitoarvion kautta!

010 323 3963
toimisto@ehammas.fi

Puheluihin vastataan klinikoidemme vastaanotoista aukioloaikoina.

(Puhelu maksaa 8,35 snt/puh. + 16,69 snt/min, sis. alv.)