Asiakaskokemukset ja hoitotulokset, kuva Jannista

Hoitotuloksia

Janni

“Hoito on ollut alusta asti selkeää ja tehty asiakkaalle helpoksi. Kun tarkastuksia on ollut tasasesti ja usein niin luotto on kova lääkäriin ja oikomishoito etenee näin varmasti oikein. Henkilökunta on ollut aina ystävällistä ja vastannut mun tyhmiin kysymyksiin niin mielellään. Kiitos Ebeling ja koko henkilökunta!”

Hoidon toteutti hammaslääkärimme Erkki Ebeling.

Oikomishoito hoitotulokset jälkeen edestä Janni Hussi
Jälkeen
Oikomishoito hoitotulokset ennen edestä Janni Hussi
Ennen
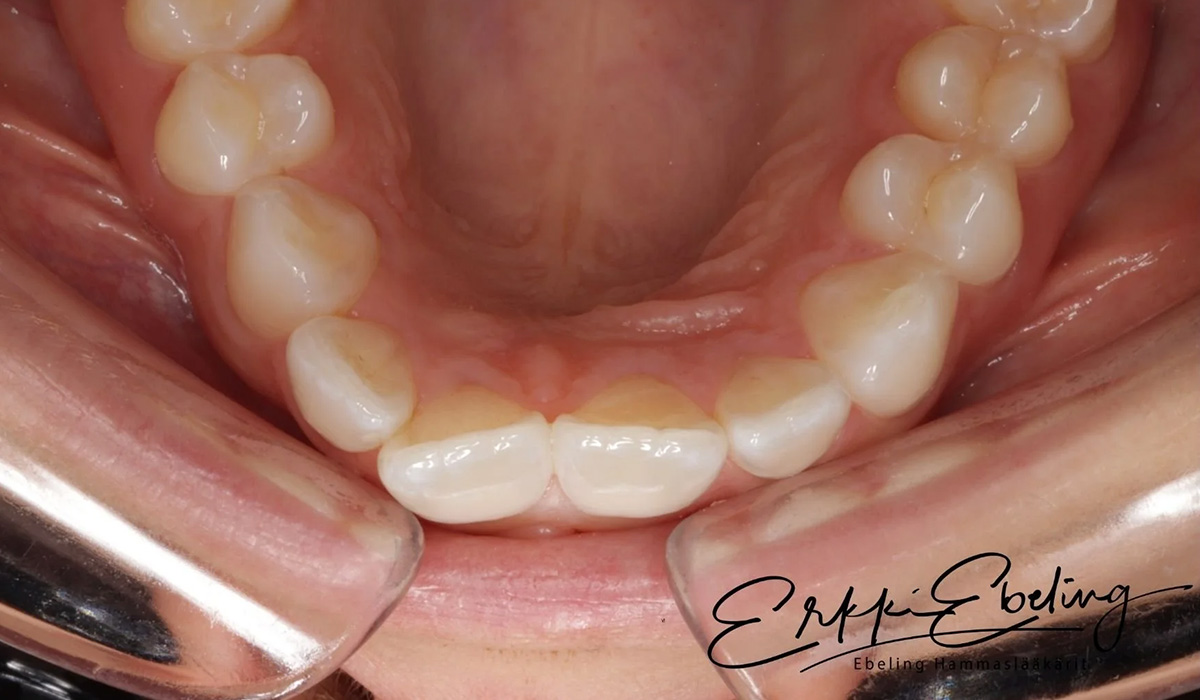
Oikomishoito hoitotulokset jälkeen yläkaari Janni Hussi
Jälkeen
Oikomishoito hoitotulokset jälkeen ennen Janni Hussi
Ennen

Lue lisää asiakkaidemme mahtavista lopputuloksista hymygalleriastamme ja ota oma ensimmäinen askeleesi kohti omaa upeaa hymyäsi maksuttoman hoitoarvion kautta!

010 323 3963
toimisto@ehammas.fi

Puheluihin vastataan klinikoidemme vastaanotoista aukioloaikoina.

(Puhelu maksaa 8,35 snt/puh. + 16,69 snt/min, sis. alv.)