Immediaatti-implantti korvaa viallisen tai vasta poistetun hampaan
- Hammasimplantti on pitkäkestoinen, jopa elinikäinen ratkaisu puuttuvan hampaan korvaamiseen. 
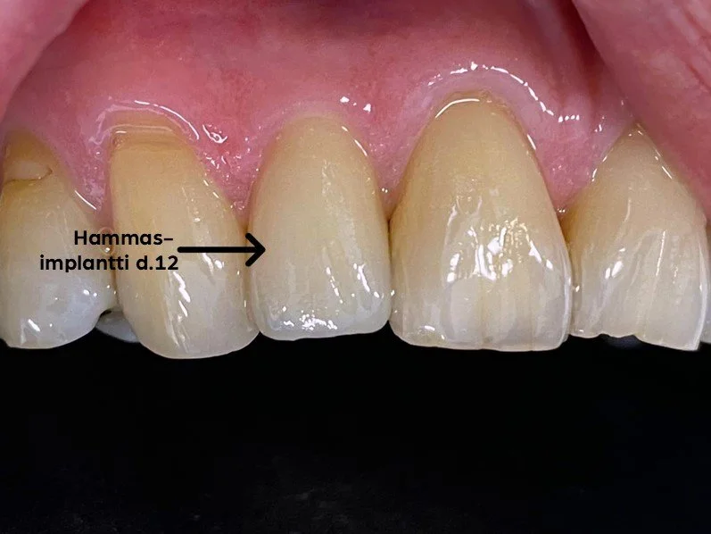
- Implantin päälle asennettu hammaskruunu näyttää samalta kuin omat hampaat. 
- Immediaatti-implantointi eli välitön implantointi lyhentää hoitoaikaa, vähentää kirurgisten toimenpiteiden lukumäärää ja mahdollistaa tavanomaista esteettisemmän hoitotuloksen tilanteessa, jossa korvataan viallinen hammas. 
- Immediaatti-implantin hinta alkaa 2600 eurosta. Hoidon voi maksaa myös osissa. 
- Hoitoa harkitsevan kannattaa aloittaa maksuttomalla, ei-sitovalla konsultaatiolla. 
“Käytännössä välitön implantointi tarkoittaa sitä, että asiakas tulee hoitokäynnille oman hampaan kanssa ja poistuu noin tunnin päästä vastaanotolta implantin ja väliaikaisen hammaskruunun kanssa. Hampaatonta aikaa ei siis ole lainkaan.” – Suu- ja leukakirurgian erikoishammaslääkäri Ville Männistö
Hammasimplantti on kannattava investointi
Hampaan menetys on harvoin pikkujuttu. Puuttuva hammas ei ole vain esteettinen riesa, vaan tilanne alkaa ennen pitkää vaikuttaa myös purentaan. Puuttuva hammas voidaan korvata esimerkiksi implantilla.
Implanttihoidossa leukaluuhun asetetaan titaaninen, ruuvin muotoinen keinojuuri, jonka päälle kiinnitetään hampaan näkyvä osa, kruunu. Hyvin hoidettuna implantti kestää vuosikymmeniä, usein jopa kantajansa loppuelämän ajan.
Hammasimplantin edut
- Luonnollinen ulkonäkö ja istuvuus. Uusi hammas sulautuu saumattomasti ympäröiviin hampaisiin. Se tuntuu ja näyttää luonnolliselta, ja sitä hoidetaan samalla tavalla kuin omiakin hampaita.
- Suunterveyden edistäminen. Implantti parantaa suuhygieniaa sekä estää luukatoa ja ienvaurioita. Se myös estää muiden hampaiden ei-toivottuja liikkeitä ja purennan heikentymistä sen seurauksena.
- Pitkäikäisyys. Hyvin hoidettu hammasimplantti on usein elinikäinen ratkaisu. Siksi se tulee ajan myötä edullisemmaksi kuin proteesi tai muut vähemmän pysyvät keinot.
Immediaatti-implantti nopeuttaa hoitoa
Immediaatti-implantointi lyhentää implanttihoidon kestoa, vähentää kirurgisten toimenpiteiden määrää ja parantaa estetiikkaa. Välittömässä implanttihoidossa keinojuuri ja väliaikainen hammaskruunu asetetaan hampaan poistokuoppaan heti hampaan poiston jälkeen, yhden vastaanottokäynnin aikana.
Ensimmäisen hoitokerran jälkeen implanttiruuville annetaan muutaman kuukauden mittainen luutumisaika, jonka jälkeen implanttiin päästään kiinnittämään pysyvä, useimmiten keraaminen hammaskruunu. Luutumisaika on yhtä pitkä kuin perinteisessä implanttihoidossa.
Kun implantointi tehdään immediaattina, hoito on tavanomaista nopeampi ja tuloksetkin usein tavallista esteettisempiä.
Perinteisen implanttihoidon ja immediaatti-implantoinnin vertailua
- Vastaanottokäyntien ja kirurgian määrä. Immediaatti-implantoinnissa kaikki hoitovaiheet tapahtuvat yhdellä käynnillä. Perinteinen implanttihoito vaatii yleensä kaksi erillistä kirurgista toimenpidettä – hampaan poiston ja implantoinnin – joista potilaan pitää toipua erikseen.
- Odotusaika. Immediaatti-implantti vähentää odotusaikaa. Immediaatti-implanttihoidossa väliaikainen hammaskruunu kiinnitetään paikalleen heti. Perinteisessä implantoinnissa potilaan on usein elettävä ilman hammaskruunua useita kuukausia. Odotusajan pituus on merkityksellinen asia etenkin etuhampaita korvattaessa.
- Estetiikka. Immediaatti-implantoinnin aikana ienläppää ei aukaista, kuten perinteisen implanttihoidon aikana. Mahdolliset esteettiset haitat vältetään, kun implantointi tehdään suoraan poistokuopan kautta.
- Pysyvyys. Perinteiset ja immediaatti-implantit pysyvät suussa kiinni vuosikymmeniä, usein kantajansa eliniän ajan. Vertaisarvioitujen tutkimusten mukaan immediaatti-implanttien kesto on yhtä pitkä kuin perinteisten implanttien.
- Minimaalinen luun menetys: luukudos ei ehdi heikentyä hampaan puuttuessa.
Immediaatti-implanttihoito tehdään terveeseen suuhun
Ennen immediaatti-implanttihoidon aloittamista erikoishammaslääkäri tekee suun kliinisen tutkimuksen, jota täydennetään röntgenkuvilla. Perusteellinen tutkimus luo suuntaviivat hoidon toteuttamiselle. Hoito voidaan tehdä terveeseen ja tulehduksettomaan suuhun.
- Immediaatti-implantti sopii vain sellaisille potilaille, joilla hampaan ympärillä oleva luu ja kudokset ovat riittävän terveet ja ehjät. Esimerkiksi ientulehdus on hoidettava ennen implantointia, eikä immediaatti-implantointi sovellu tilanteisiin, jotka vaativat luusiirteen heikentyneen leukaluun vuoksi. 
- Tupakointi, runsas alkoholin käyttö ja osa kroonisista sairauksista voivat heikentää implantoinnin onnistumistodennäköisyyttä 
“Ihanteellinen asiakas hammasimplantteihin – myös immediaatti-implantteihin – on tupakoimaton, suun omahoidosta huolehtiva ja säännöllisesti hammaslääkärillä käyvä potilas, jolla on implanttia varten omaa luuta riittävästi jäljellä.” – Suu- ja leukakirurgian erikoishammaslääkäri Ville Männistö
Immediaatti-implantin hinta
Hammasimplanttien hinnat alkavat 2600 eurosta. Immediaatti-implantonnissa, jossa hammas poistetaan samalla käynnillä, laskutetaan lisäksi väliaikainen kruunu sekä hampaan poiston hinta, joka riippuu poiston hankaluudesta (€119-497 € Kela-korvauksen jälkeen). Lisätoimenpiteet, esim. luusiirteet, nostavat implanttihoidon hintaa. Oman implanttihoitosi hintatiedot saat implanttikonsultaatiokäyntisi aikana.
Implanttihoidon hintaan sisältyvät:
- Alustava tutkimus ja hoidon suunnittelu 
- Implanttiruuvin asennus 
- Väliaikainen kruunu 
- Lopullinen keraaminen kruunu, joka valmistetaan paikan päällä 
- Jälkitarkastus 
Kustannukset käydään läpi etukäteen maksuttomassa konsultaatiossa. Hoitoprosessin aikana asiakkaalle ei tule taloudellisia yllätyksiä. Tarjoamme myös osamaksuvaihtoehtoa, jolla saa vuoden korotonta maksuaikaa.
Maksuton implanttikonsultaatio
Implanttihoitoa suunnittelevan kannattaa lähteä liikkeelle konsultaatiosta. Konsultaation aikana hammaslääkäri arvioi suun terveydentilan ja immediaatti-implantoinnin soveltuvuuden. Konsultaatiovastaanotolla laaditaan myös alustava hoitosuunnitelma. Samalla selviävät hoidon kesto, laajuus ja arvio hoidon hinnasta. Suu- ja leukakirurgi Ville Männistön implanttikonsultaatio on maksuton, eikä se sido potilasta mihinkään. Immediaatti-implantiointi on Villen erityisosaamisaluetta. Muiden erikoishammaslääkäreiden konsultaatiot ovat maksullisia.
Konsultaation jälkeen potilas voi tehdä informoidun päätöksen hoidon aloittamisesta tai lykkäämisestä.
Kokemuksia implanttihoidosta
 
                         
              
            