Anette

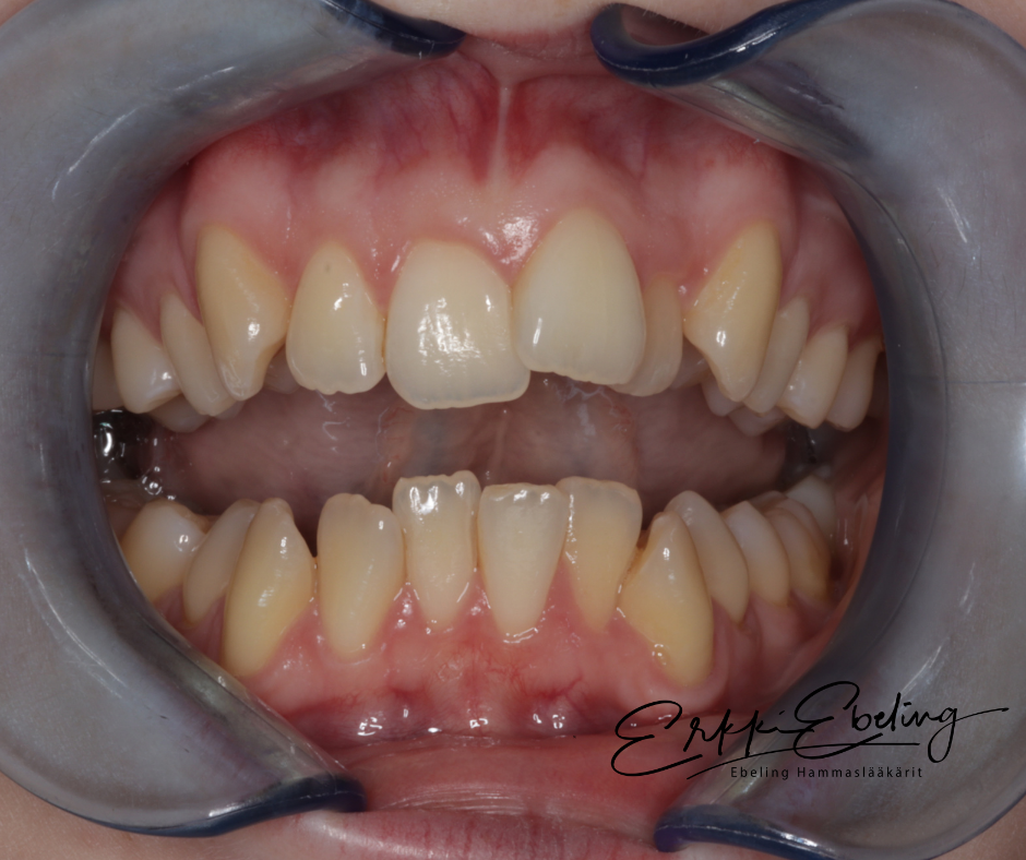
Asiakkaalle tehtiin voimakkaan ahtauden takia 18 kk kestävä Invisalign oikomishoito. Hoito viimeisteltiin hampaiden valkaisulla ja etuhampaiden kärkien muotoilulla. Hoitavana hammaslääkärinä toimi Erkki Ebeling.

Vinot hampaat aiheuttivat asiakkaalle vuosien ajan epävarmuutta ja hillitsivät hymyilyä. Invisalign-hoidon jälkeen hymyä ei ole enää tarvinnut piilotella!

"Ebelingeillä oikomisen aloittamiseen oli matala kynnys maksuttoman hoitoarvion ansiosta. Invisalign-hoito kesti noin puolitoista vuotta, ja kalvojen käyttöön tottui nopeasti. Vaikutus itsetuntoon on ollut todella suuri! Voin lämpimästi suositella Ebeling Hammaslääkäreitä ja Invisalignia oikomishoitoja harkitseville."

Edellinen
Edellinen

Linda