Hammasremonttipäivät
18.-19.3.2026
Päivitä purukalustosi Ebeling Hammaslääkäreillä Kalasatamassa, Tikkurilassa ja Ruoholahdessa.
Maksuttomassa konsultaatiossa selvitämme parhaat vaihtoehdot juuri sinulle.
Aikoja rajallisesti.
Laitetaanko hampaat kerralla kuntoon?
Hammasremonttipäivillä saat maksuttoman hammaslääkärin konsultaation sekä merkittävät edut esteettisistä sekä korjaavista hoidoista, kun päätät aloittaa hoidon 20.4.2026 mennessä.
Halusit sitten pelastaa toivottomaan kuntoon ajautuneet hampaasi tai viimeistellä itsellesi unelmien hymy, Hammasremonttipäivät ovat tilaisuutesi selvittää parhaat hoitovaihtoehdot.
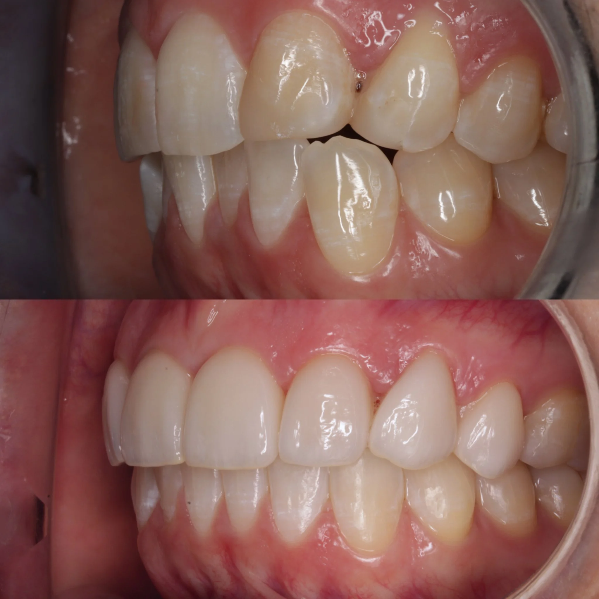
Myös Sointu ja Tomi päättivät laittaa hampaistonsa uuteen uskoon Ebeling Hammaslääkäreillä. Katso kuvat alempana.
Koskaan ei ole myöhäistä saada kaunis ja terve hymy – mutta miksi odottaisit?
Ovatko hampaasi kenties:
kuluneet tai lohkeilleet
moneen kertaan paikatut
vinossa ja/tai
osin poistetut?
Vai häiritseekö hampaissasi jokin, mistä et saa ihan kiinni?
Mikä tahansa hampaissasi mietityttääkin, moderni hammaslääketiede tarjoaa todennäköisesti ratkaisun! Kokeneet hammaslääkärimme kartoittavat hampaistosi tilanteen ja esittelevät sopivimmat hoitomuodot, joista voitte yhdessä muotoilla tarpeisiisi sopivimman hoitopolun.
Saat myös työkalut hampaistosi vaurioitumisen ehkäisyyn tulevaisuudessa.
Hammasremonttipäivien edut
Tarjoukset voimassa Hammasremonttipäiviin osallistuvilla yleishammaslääkäreillä, kun päätät aloittaa hoidon 20.4.2026 mennessä.
-

Hammasimplantti ja -kruunu, -200 €
Eli alk. 2400 €.
Puuttuvan tai pahasti vaurioituneen hampaan korvaaminen.
Lue lisää. -

Kalvo-oikomishoito sekä ylä- ja alahampaisiin, -250 €
- Suppea hoito alk. 4250 € (Norm. alk. 4500 €.).
- Laaja hoito 5250 € (Norm. alk. 5500 €.)
Lue lisää. -

-10 % seuraavista hoidoista osana hoitokokonaisuutta
- Hammaskruunut ja -laminaatit: alk. 711 € taka-alueella, alk. 765 € etu-alueella
(hampaiden korjaus ja muotoilu)- Esteettiset kerrostusmuovit: alk. 135 € per hammas
(hampaiden muotoilu)- ICON-resiini-infiltraatiohoito: alk. 142 € per hammas
(kiillevaurioiden korjaus)
Etuja ei voi yhdistää muihin tarjouksiin tai alennuksiin.
Hoitokokonaisuuden hinnan lisäksi laskutetaan 27 € Kanta- ja poliklinikkamaksu per laskutuserä. Laskutuserien määrän voi sopia yhdessä hammaslääkärisi kanssa.
Haastavampien purentaongelmien konsultaatiolla otetut kuvat ja skannaukset voidaan lähettää maksutta oikomishoidon erikoishammaslääkärin arvioitaviksi. Yllä kuvatut alennukset itse hoidosta koskevat kuitenkin vain Hammasremonttipäiville osallistuvia yleishammaslääkäreitä.
Mikäli suusi tilanne on erityisen haastava tai haluat muusta syystä suoraan erikoishammaslääkäritasoiseen hoitoon, voit vaihtoehtoisesti varata maksullisen kahden erikoishammaslääkärin yhteiskonsultaation Spesialistipäiviltä 16.-17.3.
Lisää oikomishoidon kulusta voit lukea Kalvo-oikomishoito-sivullamme.
Myös hammasimplanteista sekä kruunuista ja laminaateista löytyy Palvelu-sivuiltamme lisätietoa.
Voit myös käydä lukemassa asiakkaidemme tarinoita ja katsomassa ennen ja jälkeen -kuvat hymygalleriastamme.
Ilmoittautuminen auki 17.3.2026 asti tai kunnes ajat loppuvat.
Voit myös varata ajan puhelimitse aukioloaikoinamme numerosta 010 323 3963 tai sähköpostitse osoitteesta toimisto@ehammas.fi. Konsultaatiokäynti on maksuton, eikä velvoita varaamaan jatkohoitoa. Tarjoushinnat ovat voimassa, kun päätät aloittaa hoitokokonaisuuden 20.4.2026 mennessä. Tarjoushinta ei koske jo aiemmin aloitettuja hoitoja.
Meiltä myös joustava Resurs Bank-osamaksu!
Palautetta hammasremonteista Ebeling Hammaslääkäreillä
Soinnun ja Solosen Hammasremontit
Tomi Solonen ja Sointu Borg päättivät laittaa hampaansa kuntoon Ebeling Hammaslääkäreillä.
Kaikki hammaslääkärimme osaavat arvioida hoitotarpeitasi kokonaisvaltaisesti. Tarvittaessa hoitokokonaisuus toteutetaan useamman asiantuntijan yhteistyönä. Saat kuitenkin yksityiskohtaisemman hoitosuunnitelman, kun varaat konsultaatiosi hammaslääkärille, jonka osaaminen sopii parhaiten tarpeisiisi. Alta voit selata Hammasremonttipäiville osallistuvia hammaslääkäreitä ja näiden omia osaamisalueita.
Hammaslääkärimme hammasremonttipäivillä
-

Mikko Lahtinen
Oikomishoitoon erikoistuva hammaslääkäri
Osaamisalueita: Oikomishoito. -

Angie Lehtikari
Oikomishoidolle omistautunut hammaslääkäri
Osaamisalueita: Oikomishoito, hammaslaminaatit, kerrostusmuovit. -

Teemu Vuoristo
Hammaslääkäri
Osaamisalueita: Hammaskruunut ja -laminaatit, kerrostusmuovit, oikomishoito. -

Arttu Jaakkola
Hammaslääkäri
Osaamisalueita: Hammaskruunut, -laminaatit ja hammasimplantit sekä oikomishoito. -

Henriikka Hotulainen
Hammaslääkäri
Osaamisalueita: Oikomishoito, kerrostusmuovit, hammaskruunut- ja hammaslaminaatit. -

Petteri Jyrkönen
Hammaslääkäri
Osaamisalueita: Hammaskruunut, -laminaatit ja hammasimplantit sekä oikomishoito. -

Olga Vabistsevits
Hammaslääkäri
Osaamisalueita: Hammaskruunut, hammaslaminaatit, ja -implantit sekä kerrostusmuovit. -

Sakari Ebeling
Hammaslääkäri
Osaamisalueita: Hammaskruunut, -laminaatit ja hammasimplantit. -

Lauri Ebeling
Hammaslääkäri
Osaamisalueita: Hammaskruunut, -laminaatit ja hammasimplantit.
Kokemuksia Kalvo-oikomishoidosta Ebeling Hammaslääkäreillä
Nicken hammasremontti
Aikoja rajallisesti
Ajan voit varata puhelimitse 010 323 3963, netistä tai sähköpostitse toimisto@ehammas.fi