Hammasimplanttipäivät Helsingissä ja Vantaalla

Hammasimplanttipäivät

13.-.17.4.2026 Ruoholahdessa, Kalasatamassa ja Tikkurilassa

Korvaa puuttuva tai vaurioitunut hammas markkinoiden kestävimmällä sveitsiläisellä implantilla.
Etusi jopa yli 600 €.

Varaa aikasi

Maksuton konsultaatio

Voit myös lähettää tiedustelun osoitteeseen toimisto@ehammas.fi tai soittaa 010 323 3963

Puuttuuko Sinulta hammas tai hampaita, jotka haluaisit korvata?

Ebelingin Hammas­implantti­päivät ovat tilaisuutesi!

Konsultaatio hammasimplanttipäivinä 13-17.4.2026 on maksuton. Jos aloitat implanttihoidon 15.5.2026 mennessä saat Straumann Roxolid -implantin (norm. 2600 €) ja siihen sisältyvät 3D-röntgenkuvat (norm. 229-462 €) hintaan 2400 €osamaksulla alkaen 60 €/kk. Erikoishammaslääkäri Masamitsu Amemorilla tarjoushinta on 2600 € (norm. 2800 €).

Etusi voi siis olla jopa 662 €.

Lisäksi jaamme kaikille implanttipäiville osallistuville tyylikkään Ebeling-kangaskassin, joka sisältää mm. 30 euron arvoisen lahjakortin suuhygienistin palveluihin ja muuta mukavaa!

Mahdollinen luusiirre veloitetaan erikseen. Mikäli haluat KKTT-röntgenkuvat mukaasi, veloitetaan näiden hinta erikseen. Tarjousta ei voi yhdistää muihin alennuksiin. Jokaista laskutuserää kohden veloitetaan Kanta- ja poliklinikkamaksu 27 €.

Hammasimplantti ja hoidon kulku

Hammasimplantilla voidaan korvata puuttuva hammas pysyvästi, luonnollisen näköisellä ja tuntuisella lopputuloksella.

Implanttina käytämme laadukasta sveitsiläistä Straumann Roxolid -implanttia (lisää alempana). Käytämme 3D-tulostettua ohjuria. Ohjurin avulla implantin asettaminen leukaluuhun tapahtuu turvallisesti, tarkasti ja nopeasti. Yleensä toimenpiteessä ei tarvitse edes käyttää veistä, joten toimenpiteen jälkeinen kipu ja paranemisaika ovat vähäisemmät perinteiseen menetelmään verrattuna.

Ebeling Hammaslääkärit hoitaa suunterveyttäsi kokonaisvaltaisesti. Mikäli tilanteesi edellyttää esimerkiksi oikomishoitoa ennen implantointia – viereiset hampaat ovat ehtineet liikkua tai purennassa on muuta korjattavaa – saat myös oikomishoidon meiltä ammattitaitoisesti osana yhtenäistä hoitopolkua. Konsultoimme ja osallistamme hoitoon tarvittaessa kunkin alan erikoishammaslääkäreitä.

Miksi kannattaa ottaa hammasimplantti?

  • Hammasimplantti näyttää ja tuntuu oikealta hampaalta
  • Implantti toimii oikean hampaan tavoin, tehden ruokailusta ja hampaiden pesusta helpompaa
  • Implanttihammas tukee viereisiä hampaita ja estää niiden kallistumista puuttuvan hampaan päälle
  • Implanttiruuvi leukaluussa estää luukatoa, sillä puruvoima siirtyy implantoidusta hampaasta leukaluuhun ja täten auttaa luun muodostumista. Luun ylläpitäminen on tärkeää esimerkiksi kasvojen ja leukalinjan ylläpitämistä varten
  • Mikäli kyseessä on esimerkiksi useamman yksikön hammassilta, implanttiruuvi antaa sille tukevan kiinnitysalustan

98 % suosittelisi meitä*

Korkealaatuiset ja kokonaisvaltaiset hammaslääkäri- ja suuhygienisti- palvelut paikalliselta perheyritykseltä.

Uskomme, että käynti hammaslääkärillä voi olla rauhoittava ja miellyttävä elämys. Näin uskovat asiakkaammekin.

*Asiakastyytyväisyyskyselyihin vastanneet 2023-2026 (n > 7000).

Kokemuksia implanttihoidosta

Tulin Ebelingeille hammaslääkärikammoisena ja suu huonossa kunnossa. Kaikki laitettiin kuntoon (mm. implantti, viisureiden poistot, reikien paikkauksia) ja sain päivitetyt ohjeet miten ylläpitää suun terveyttä. Tämä...
Google-arvio, 2024
Implanttihoito sujui Arttu Jaakkolalta ammattitaitoisesti, ystävällisesti ja kivuttomasti! Bravo!
Asiakaspalaute, 2024
Tuntui heti siltä, että ollaan osaavissa käsissä. Nopeasti etenee implanttien laitto. Rtg-kuvat heti ensimmäisellä käynnillä ja jatkoaika nopeasti perään. Suosittelen.
Asiakaspalaute, 2024
Hammasimplantti [EHL Masamitsu] Amemorilta 5/5 kokemus
Google-arvio, 2023
Asiakaspalvelu oli hyvää, toiminta tehokasta, hampaasta tuli todella hieno, kiitos!
Asiakaspalaute, 2024
Amicable welcome and appropriate discussions regarding the possible customer relation after this initial meeting for studying the implementation of a tooth implant.
Google review, 2024
Oli hyvä, että löysin kolme vuotta sitten ammattitaitoisen, myös purentaan erikoistuneen tohtori Masamitsu Amemorin. Näin siitä huolimatta, että olin vuosien ajan käynyt säännöllisesti hoidattamassa hampaani...
Asiakaspalaute
Kävin Ruoholahden toimipisteellä hoidattamassa purentani korjauksen sekä uuden hammasimplantin laittamisen. Minua palveli Ebeling-veljeskaartin vanhin, Sakari, ja toimintaa ei voi muuta kuin kehua ammattimaiseksi, laadukkaaksi ja...
Google-arvio 2024
Kun ihminen tarvitsee implantteja, on palvelun ja osaamisen oltava huipputasolla. Ebelingissä se on, laitatan nyt jo neljännet implantit ja voin luottaa saavani erinomaiset. Palvelukokemus on...
Google-arvio, 2024
Kiitos Sakari erinomaisesta implantista ja ilmeisen hyvistä kotihoito-ohjeistakin.
Asiakaspalaute, 2024

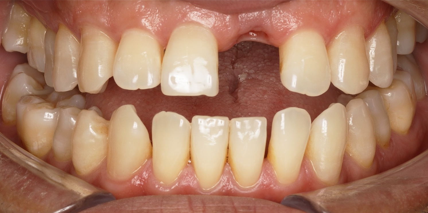
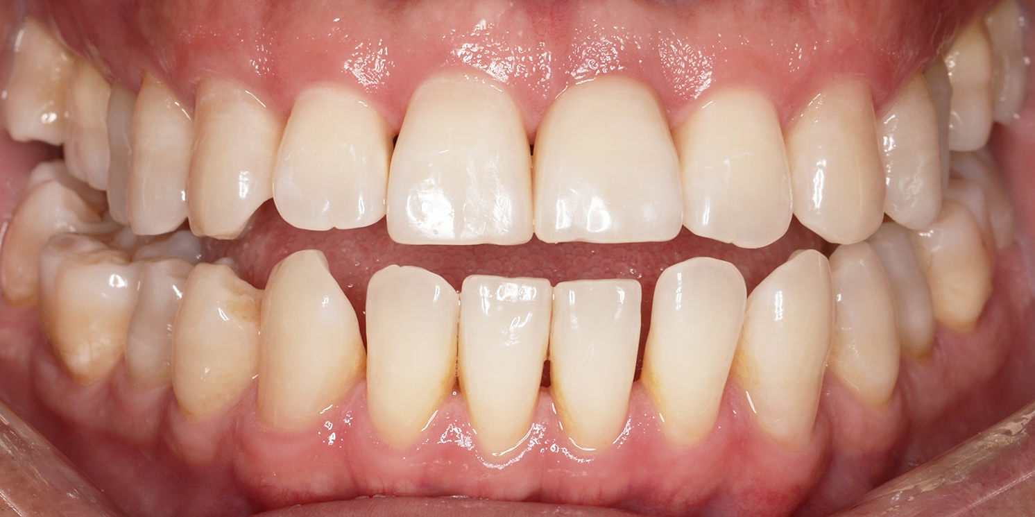
Etualueen implanttihoito

Potilaalta jouduttiin poistamaan tulehtunut etuhammas. Samanaikaisesti asennettiin hammasimplantti. 4 kuukauden kuluttua hampaat vielä valkaistiin. Pysyvän implanttikruunun digitaalisen suunnittelun yhteydessä suunniteltiin myös viereisen etuhampaan leventäminen, joka toteuttiin esteettisillä kerrostusmuoveilla.

Hammasimplantti hoitotulos jälkeen-kuva
Jälkeen
Hammasimplantti hoitotulos ennen-kuva
Ennen

Miksi Straumann Roxolid?

Straumann Roxolid-implantti on valmistettu titaanin ja zirkoniumin seoksesta, joka antaa Roxolid-implantille jopa 40 % korkeamman väsymislujuuden kuin perinteisillä titaani-implanteilla.

Tämä minimoi implantin hajoamisriskin, sekä mahdollistaa normaalia kapeampien implanttien käytön tilanteissa, joissa leukaluu on ohut. Näin voidaan usein välttyä luusiirreoperaatioilta, jolloin toimenpide on potilaalle nopeampi, kivuttomampi ja edullisempi.

Straumann on yksi maailman johtavista implanttien valmistajista.

Straumann -implanttiosilla on elinikäinen takuu.

Voit varata oman konsultaatioaikasi ajanvarauksesta tai soittamalla numeroon 010 323 3963.
Voit tiedustella ajoista myös sähköpostitse toimisto@ehammas.fi tai jättää soittopyynnön numeroon 050 449 4990.

Konsultaatiokäynti on maksuton, eikä velvoita varaamaan jatkohoitoa. Tarjoushinta on voimassa, kun aloitat implantti-hoidon 15.5.2026 mennessä.
Meiltä myös joustava Resursbank-osamaksu: Voit saada uuden hampaan alk. 60 €/kk.

Resurs Bank-rahoitus

Käytössässi on Resurs Bankin tarjoama osamaksuvaihtoehto, jolla saa 12 kk korotonta maksuaikaa.
Maksuaikaa yhteensä jopa 60 kk.

Esimerkki €2400

Vuosikorko: 0 %
Käsittelymaksu €/kk: 6,72 €
Tilimaksu: 0,00 €
Todellinen vuosikorko: 6,32 %
Normaali kuukausierä: 206,72 €
Luoton kustannukset: 80,64 €
Maksettava kokonaismäärä: 2 480,64 €

Lue lainan ehdot täältä.

Hae lainaa

Aikoja rajallisesti

Ajan voit varata puhelimitse 010 323 3963, netistä tai sähköpostitse toimisto@ehammas.fi

Nicken hammasremontti

010 323 3963
toimisto@ehammas.fi

Puheluihin vastataan klinikoidemme vastaanotoista aukioloaikoina.

(Puhelu maksaa 8,35 snt/puh. + 16,69 snt/min, sis. alv.)